年轻的小张在给儿子辅导作业时,气急败坏大声训斥儿子不好好学习,突然心口剧痛,还感到呼吸不通畅。这时小张也顾不上骂儿子了,连忙坐在床边想缓缓,疼痛是有所好转,但感觉呼吸越来越不对劲了,于是在家人的带领下赶紧来到南京明基医院急诊就诊,拍完片子,医生告诉他:“你这是气胸,简单来说就是肺破了。”

气胸难道真的是被气出来的吗?该院胸外科专家表示,正常的胸膜腔是由两层膜构成,一层叫壁层胸膜,贴在胸廓的内表面;一层叫脏层胸膜,贴在肺的表面。两层胸膜形成一个潜在的、负压的胸膜腔,腔内仅有少量的液体起到润滑作用,这个结构保证我们的肺能随着呼吸自如地扩张和收缩。但因各种原因导致胸膜破裂,空气进入了这个不该有气体的胸膜腔时,负压便消失了,肺就会被自身的弹性回缩力压得塌陷掉,就像一个漏了气的气球。这就是气胸。
专家表示,气胸尤其“偏爱”两类人:
1、“竹竿型”的瘦高青年男性。这类体型的人肺部发育时,胸廓长得快,肺部顶端相对更容易形成肺大泡(像肺上的小气球)。在剧烈运动、咳嗽、甚至用力大笑时,这个薄弱的小泡就可能破裂,导致气胸。
2、有基础肺部疾病的患者。如COPD(慢性阻塞性肺病)、肺气肿的患者,他们的肺部结构比较脆弱,肺内会明显的肺大泡,也容易发生气胸。此外,胸部外伤(如肋骨骨折刺破肺)也会导致外伤性气胸。
那么,如何判断?专家表示,气胸来袭时,通常有以下典型的临床症状:
突发性胸痛:多为单侧、刀割样或针刺样锐痛。
呼吸困难:感觉“气不够用”,呼吸急促。肺塌陷得越厉害,呼吸困难就越严重。
刺激性干咳:感觉喉咙痒痒的,一直想咳嗽。
严重时可出现口唇发紫、血压下降、甚至休克,危及生命!
到了医院,医生通常会建议以下几项检查:胸片:通常能看到胸腔内无肺纹理区及肺压缩边缘。以下图为例,绿线以外都是气胸,肺组织被压缩到绿线以内。
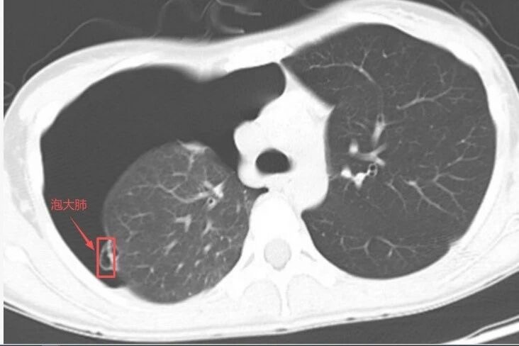
胸部CT:不仅能看到胸腔内无肺纹理区及肺压缩边缘,还能看到明显的肺大泡(箭头所示)。
肺“漏气”了,怎么办?别慌!胸外科医生有各种办法把“漏”的气抽出来,让塌陷的肺重新鼓起来。
1、观察等待
对于肺压缩<30%、症状轻微的首发患者,通过吸氧,气体可自行吸收。
2、胸腔穿刺抽气
通过穿刺,用针管将气体抽出。简单快速,但常需反复操作。
3、胸腔闭式引流
这是最核心、最常用的治疗方法。在胸壁切一个小口,放入一根引流管,连接到闭式引流瓶。这样,肺一漏气,气体就会被引流出来,肺就能慢慢复张,同时也能观察肺漏气情况,好决定手术方案。
需要指出的是,胸腔闭式引流只能引流气(液)体,让塌陷的肺重新工作起来。但对于明确发现肺大泡的患者,气胸是容易复发的,且复发性气胸容易合并胸腔内出血。切除肺大泡是这类患者的根治性治疗方案。对于有升学需要,比如中考、高考的学生,发作了气胸,且明确有肺大泡,一般建议在升学考试前把肺大泡切掉。
目前切除肺大泡多通过胸腔镜微创手术(VATS)进行,通过2-3个“钥匙孔”大小的切口,在屏幕直视下,精准地切除肺大泡,并进行胸膜固定(让肺和胸壁粘在一起,不易再塌陷),从根本上解决问题。
康复与预防小贴士
1、1个月内避免剧烈运动、用力咳嗽、提重物。
2、戒烟!吸烟是导致肺部脆弱的重要因素。
3、气胸虽然来得突然,让人恐慌,但它是可防可治的。如果出现上述典型症状,请立即就医,切勿拖延!
通讯员 蒋佳佳
南京晨报/爱南京记者 孙苏静

扫一扫关注微信